تفاوت لمینت و کامپوزیت یکی از موضوعات پرطرفدار در دنیای دندانپزشکی زیبایی است. هر دو روش به منظور بهبود ظاهر دندانها و ایجاد لبخندی زیبا استفاده میشوند، اما تفاوتهایی اساسی در ساختار، کاربرد، طول عمر و هزینههای آنها وجود دارد.
برای داشتن دندانی سالم و لبخندی زیبا، با تیم متخصص دندانپزشکی ما تماس بگیرید! برای مشاوره و تعیین وقت ملاقات با بهترین دندانپزشکان، کافیست با شماره 02191091002 تماس بگیرید.
ما به شما کمک میکنیم تا با درمانهای پیشرفته و مطابق با استانداردهای روز دنیا، از سلامت دندانهای خود لذت ببرید. در کنار شما هستیم تا لبخندتان همیشه درخشان و بدون دردسر باشد!

تفاوت کامپوزیت و لمینت
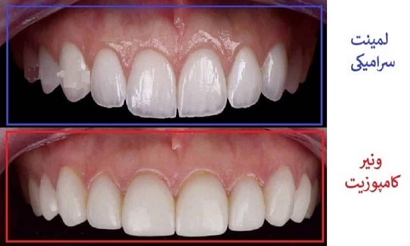
لمینت دندان به پوششهای نازک و سفارشی گفته میشود که از مواد سرامیکی یا پرسلن ساخته میشوند و به سطح جلویی دندانها چسبانده میشوند. این پوششها به منظور اصلاح ظاهر دندانها از جمله تغییر رنگ، شکل، اندازه یا فاصله بین دندانها به کار میروند.
لمینتها معمولاً برای کسانی که دندانهایی با مشکلات ظاهری مانند ترک، شکستگی یا تغییر رنگ دارند، انتخاب مناسبی هستند.
کامپوزیت دندان نیز یک ماده رزینی است که به طور مستقیم روی دندانها قرار میگیرد و به شکلی مشابه لمینتها برای بهبود ظاهر دندانها استفاده میشود. این ماده به صورت پلیمری بر روی دندانها اعمال میشود و بعد از قرار گرفتن روی دندان، با نور UV سفت میشود.
کامپوزیتها معمولاً برای ترمیم دندانها، اصلاح شکل دندانها یا پر کردن فضاهای خالی بین دندانها به کار میروند.
مواد استفاده شده
یکی از تفاوت لمینت و کامپوزیت مواد تشکیلدهنده لمینت است لمینتها از مواد سرامیکی یا پرسلن ساخته میشوند که به دلیل ویژگیهای خاص خود مانند شفافیت، مقاومت در برابر تغییر رنگ و تطابق با رنگ طبیعی دندانها بسیار محبوب هستند. سرامیکهای استفادهشده در لمینتها به طور خاص به گونهای طراحی شدهاند که ظاهری مشابه مینای دندان داشته باشند.
کامپوزیتها از مواد رزینی ساخته میشوند که به راحتی بر روی دندان قرار میگیرند. این مواد به دلیل خاصیت شکلپذیری بالا میتوانند به طور دقیق به شکل دندانها قالب داده شوند، اما از لحاظ مقاومت و طول عمر کمی از سرامیکها ضعیفتر هستند.
زیبایی و ظاهر
یکی دیگر از تفاوت لمینت و کامپوزیت زیبایی لمینت است لمینتها به دلیل استفاده از مواد سرامیکی یا پرسلن، ظاهری طبیعی و شفاف دارند که به راحتی با رنگ دندانهای طبیعی ترکیب میشوند. این مواد به قدری شبیه به مینای دندان هستند که حتی در زیر نور مستقیم نیز نمیتوان تفاوت آنها را با دندانهای طبیعی تشخیص داد.
کامپوزیتها اگرچه از لحاظ ظاهری مشابه دندانهای طبیعی هستند، اما معمولاً به اندازه لمینتها شفاف و طبیعی به نظر نمیرسند. کامپوزیتها به راحتی تغییر رنگ میدهند و ممکن است بعد از مدتی نیاز به ترمیم داشته باشند. در کل، زیبایی کامپوزیتها کمتر از لمینتها است.
مقاومت و دوام
لمینتها از سرامیک ساخته شدهاند که مقاومت بالایی در برابر شکستگی و تغییر رنگ دارند. در صورتی که مراقبت مناسبی از آنها صورت گیرد، میتوانند ۱۰ تا ۱۵ سال دوام داشته باشند. لمینتها همچنین به دلیل عدم تغییر رنگ، انتخاب مناسبی برای کسانی هستند که به دنبال راه حلی دائمی برای مشکلات دندانهای خود هستند. به همین دلیل، تفاوت قیمت لمینت و کامپوزیت معمولاً بیشتر از نظر دوام و طول عمر مشهود است.
کامپوزیتها مقاومت کمتری نسبت به لمینتها دارند و معمولاً ۵ تا ۷ سال دوام میآورند. این مواد به راحتی در برابر فشارهای زیاد، خوردگی یا سایش مقاومت نمیکنند و ممکن است بعد از مدتی تغییر رنگ دهند. به همین دلیل، افراد باید بیشتر مراقب کامپوزیتهای خود باشند و در صورت نیاز آنها را ترمیم کنند. در نتیجه، تفاوت کامپوزیت و لمینت از نظر ماندگاری و نیاز به مراقبت نیز قابل توجه است.
نگهداری و مراقبت
یکی دیگر از تفاوت لمینت و کامپوزیت این است که لمینتها به دلیل داشتن سطح سرامیکی، مراقبت خاصی نمیطلبند. البته، مانند دندانهای طبیعی، باید از مصرف مواد خوراکی سخت یا مضر پرهیز کرد تا از شکستگی یا آسیب دیدن آنها جلوگیری شود. همچنین باید توجه داشت که ممکن است پس از چند سال نیاز به ترمیم یا تعویض داشته باشند.
کامپوزیتها به دلیل اینکه بیشتر از رزین ساخته شدهاند، حساستر هستند و ممکن است به راحتی دچار سایش یا تغییر رنگ شوند. برای نگهداری بهتر از آنها باید از مسواک زدن مرتب، استفاده از نخ دندان و اجتناب از مصرف خوراکیهای رنگی مانند قهوه یا چای خودداری کرد.

تفاوت قیمت لمینت و کامپوزیت
تفاوت قیمت لمینت و کامپوزیت عمدتاً به دلیل نوع مواد، زمان درمان و مراحل انجام کار است. لمینتها معمولاً از مواد سرامیکی با کیفیت بالا ساخته میشوند که ظاهری طبیعی و مقاوم دارند، اما فرآیند نصب آنها پیچیدهتر و زمانبر است، به همین دلیل هزینه بیشتری دارند. علاوه بر این، نیاز به لابراتوار برای ساخت لمینتها و تخصص بالای دندانپزشک باعث افزایش قیمت آنها میشود.
در مقابل، کامپوزیتها از مواد رزینی ارزانتر ساخته میشوند و نصب آنها سریعتر و در یک جلسه انجام میشود. به این ترتیب، قیمت کامپوزیتها بهطور معمول پایینتر از لمینتها است، اما طول عمر کمتری دارند و ممکن است نیاز به ترمیمهای بیشتری داشته باشند.
نوع و کیفیت مواد استفاده شده
تفاوت لمینت و کامپوزیت ها در نوع و کیفیت مواد استفاده شده این است که لمینتها معمولاً از مواد سرامیکی یا پرسلن ساخته میشوند که کیفیت بالاتری دارند و از نظر ظاهری و عملکردی بسیار شبیه به مینای دندان طبیعی هستند. این مواد گرانتر از رزینهای استفاده شده در کامپوزیت هستند. همچنین، فرآیند ساخت لمینتها دقیقتر و زمانبرتر است و نیاز به لابراتوارهای تخصصی دارد.
کامپوزیتها از مواد رزینی ساخته میشوند که به نسبت سرامیکها ارزانتر هستند. این مواد به راحتی در دسترس قرار دارند و فرآیند درمان با آنها سریعتر است، که باعث کاهش هزینهها میشود.
مراحل درمان و زمان مصرف
نصب لمینت به دو جلسه نیاز دارد که یکی از آنها برای قالبگیری و ارسال به لابراتوار و دیگری برای نصب لمینتها بر روی دندانها است. این فرآیند پیچیدهتر و وقتگیرتر است و به همین دلیل هزینه بیشتری دارد.
درمان با کامپوزیت معمولاً در یک جلسه انجام میشود، زیرا کامپوزیت به طور مستقیم روی دندان اعمال میشود و نیاز به لابراتوار ندارد. به همین دلیل، زمان و هزینه درمان با کامپوزیت کمتر است.
تجربه و تخصص دندانپزشک
نصب لمینت نیاز به دندانپزشک با تجربه و تخصص بالا دارد، زیرا باید دقت زیادی در نصب آن به کار رود تا نتیجه نهایی طبیعی و دقیق باشد. این باعث میشود که تفاوت قیمت لمینت و کامپوزیت در مطبهای متخصص و مجرب بالاتر باشد.
نصب کامپوزیت نیز نیاز به مهارت دارد، اما به طور کلی فرایند سادهتری است. با این حال، انتخاب دندانپزشک با تجربه در این زمینه میتواند بر قیمت تأثیرگذار باشد. در نتیجه، تفاوت کامپوزیت و لمینت به عوامل مختلفی همچون تخصص دندانپزشک و نوع مواد استفادهشده بستگی دارد.
موقعیت جغرافیایی و شهرت مطب
هزینه درمان بسته به موقعیت جغرافیایی مطب و شهرت دندانپزشک متفاوت است. در کلینیکهای معتبر و در مناطق گرانتر، قیمتها میتواند بیشتر باشد. این موضوع در تفاوت لمینت و کامپوزیت نیز تأثیرگذار است، چرا که هزینهها در این مناطق ممکن است برای هر دو روش افزایش یابد.
هزینه هر دندان لمینت معمولاً بالاتر است و اگر تعداد دندانهایی که باید درمان شوند بیشتر باشد، هزینه نهایی نیز افزایش خواهد یافت. بنابراین، تفاوت قیمت لمینت و کامپوزیت در این زمینه واضح است.
هزینه درمان کامپوزیت معمولاً برای هر دندان کمتر از لمینت است، ولی برای تعداد زیاد دندانها، هزینه میتواند قابل توجه باشد. به همین دلیل، تفاوت کامپوزیت و لمینت در تعداد دندانهای تحت درمان نیز ممکن است تأثیر زیادی بر هزینه نهایی داشته باشد.
طول عمر و ماندگار
لمینتها معمولاً عمر طولانیتری دارند (بین ۱۰ تا ۱۵ سال) و نیاز به تعویض یا ترمیم کمتری دارند. بنابراین، هرچند که هزینه اولیه بالاتری دارند، اما از نظر بلندمدت ممکن است مقرون به صرفهتر باشند. این ویژگیها باعث میشود که تفاوت قیمت لمینت و کامپوزیت در طولانیمدت بهطور قابل توجهی متفاوت باشد
کامپوزیتها معمولاً عمر کوتاهتری دارند (۵ تا ۷ سال) و ممکن است نیاز به ترمیمهای مکرر داشته باشند، که در نهایت میتواند هزینههای اضافی به دنبال داشته باشد. بنابراین، تفاوت کامپوزیت و لمینت از نظر طول عمر و نیاز به مراقبتهای مکرر نیز یکی از نکات مهم در تصمیمگیری است.
درخواست و تقاضا
در مناطقی که تقاضا برای درمانهای زیبایی دندان بالا است، قیمتها معمولاً بیشتر خواهد بود. برای مثال، در شهرهای بزرگ و مناطق پرجمعیت، هزینهها میتواند بالاتر از مکانهای دیگر باشد.
تفاوت لمینت و کامپوزیت در قیمت نیز قابل مشاهده است؛ زیرا در مناطق با تقاضای بیشتر، هزینههای دندانپزشکی و درمانهای زیبایی، بهویژه برای روشهایی مانند لمینت که نیاز به تخصص بیشتری دارند، ممکن است افزایش یابد. همچنین، تفاوت قیمت لمینت و کامپوزیت به این بستگی دارد که درمان در یک منطقه شهری گرانقیمت انجام شود یا در مناطق با هزینههای پایینتر.
سوالات متداول
برای گرفتن مشاوره و درمانهای دندانپزشکی با چه شماره ای باید تماس بگیرم؟
شما میتوانید با شماره 02191091002 تماس بگیرید و برای دریافت مشاوره و تعیین وقت برای درمانهای دندانپزشکی خود اقدام کنید. تیم متخصص ما آماده است تا به شما کمک کند و اطلاعات لازم را در اختیارتان قرار دهد.
تفاوت لمینت و کامپوزیت چیست؟
لمینتها از سرامیک یا پرسلن ساخته شدهاند و نیاز به قالبگیری دارند. آنها مقاومت بالاتر و عمر طولانیتری دارند. در مقابل، کامپوزیتها از مواد رزینی ساخته شدهاند که به طور مستقیم روی دندان اعمال میشوند و فرایند درمان سریعتری دارند.
کدام یک، لمینت یا کامپوزیت، دوام بیشتری دارد؟
لمینتها معمولاً ۱۰ تا ۱۵ سال عمر میکنند و نیاز به تعویض یا ترمیم کمتری دارند. در حالی که کامپوزیتها عمر کمتری دارند (۵ تا ۷ سال) و ممکن است نیاز به ترمیمهای مکرر داشته باشند.
آیا نصب لمینت درد دارد؟
نصب لمینت معمولاً بدون درد است، اما ممکن است دندانپزشک نیاز به تراشیدن جزئی مینای دندان داشته باشد که ممکن است حس ناراحتی ایجاد کند. پس از نصب، دندانها هیچ گونه درد خاصی ندارند.
آیا کامپوزیتها تغییر رنگ میدهند؟
بله، کامپوزیتها ممکن است با گذر زمان تغییر رنگ دهند، به خصوص اگر از مواد غذایی یا نوشیدنیهایی مانند قهوه یا سیگار استفاده شود. اما لمینتها معمولاً تغییر رنگ نمیدهند و به همین دلیل انتخاب بهتری برای افرادی هستند که به دنبال راهحل دائمیتر هستند.
جمع بندی
به طور کلی، تفاوت لمینت و کامپوزیت به عواملی همچون مواد استفادهشده، دوام، هزینه و فرایند درمان بستگی دارد. لمینتها از مواد سرامیکی با کیفیت بالا ساخته شدهاند و معمولاً عمر طولانیتری (۱۰ تا ۱۵ سال) دارند، در حالی که کامپوزیتها به دلیل مواد رزینی خود عمر کوتاهتری (۵ تا ۷ سال) دارند و ممکن است نیاز به ترمیمهای مکرر داشته باشند.
از نظر تفاوت قیمت لمینت و کامپوزیت، درمان با لمینتها هزینه بالاتری دارد اما در بلندمدت ممکن است مقرون به صرفهتر باشد، در حالی که هزینه درمان با کامپوزیتها معمولاً کمتر است. انتخاب بین این دو روش باید بر اساس نیاز فردی، تعداد دندانها، و تخصص دندانپزشک انجام شود. برای دریافت مشاوره بیشتر و برنامهریزی درمان، میتوانید با شماره 02191091002 تماس بگیرید.
